عرض على TensorFlow.org | تشغيل في Google Colab | عرض المصدر على جيثب | تحميل دفتر |
ملخص
وهذا يدل على تعليمي كيفية استخدام tfio.image.decode_dicom_image في TensorFlow IO إلى فك DICOM الملفات مع TensorFlow.
الإعداد والاستخدام
تنزيل صورة DICOM
صورة DICOM المستخدمة في هذا البرنامج التعليمي هو من المعاهد الوطنية للصحة الصدر X-راي مجموعة البيانات .
يتكون NIH الصدر X-راي بيانات من 100000 الصور دي تحديدها من الصدر بالأشعة السينية في شكل PNG، التي يقدمها مركز NIH السريري ويمكن تحميلها من خلال هذا الرابط .
كما يوفر جوجل الغيمة نسخة DICOM الصور، المتوفرة في سحابة التخزين .
في هذا البرنامج التعليمي، سوف تقوم بتحميل ملف عينة من مجموعة البيانات من الريبو جيثب
- Xiaosong Wang و Yifan Peng و Le Lu و Zhiyong Lu و Mohammadhadi Bagheri و Ronald Summers و ChestX-ray8: قاعدة بيانات الأشعة السينية للصدر على نطاق المستشفى والمعايير المتعلقة بالتصنيف الخاضع للإشراف الضعيف وتوطين أمراض الصدر الشائعة ، IEEE CVPR ، ص 3462 -3471 ، 2017
curl -OL https://github.com/tensorflow/io/raw/master/docs/tutorials/dicom/dicom_00000001_000.dcmls -l dicom_00000001_000.dcm
% Total % Received % Xferd Average Speed Time Time Time Current
Dload Upload Total Spent Left Speed
100 164 0 164 0 0 600 0 --:--:-- --:--:-- --:--:-- 598
100 1024k 100 1024k 0 0 1915k 0 --:--:-- --:--:-- --:--:-- 1915k
-rw-rw-r-- 1 kbuilder kokoro 1049332 Nov 22 03:47 dicom_00000001_000.dcm
قم بتثبيت الحزم المطلوبة ، وأعد تشغيل وقت التشغيل
try:
# Use the Colab's preinstalled TensorFlow 2.x
%tensorflow_version 2.x
except:
pass
pip install tensorflow-io
فك شفرة صورة DICOM
import matplotlib.pyplot as plt
import numpy as np
import tensorflow as tf
import tensorflow_io as tfio
image_bytes = tf.io.read_file('dicom_00000001_000.dcm')
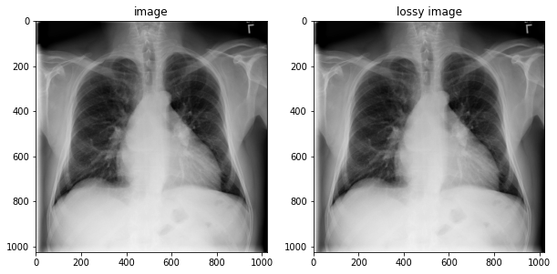
image = tfio.image.decode_dicom_image(image_bytes, dtype=tf.uint16)
skipped = tfio.image.decode_dicom_image(image_bytes, on_error='skip', dtype=tf.uint8)
lossy_image = tfio.image.decode_dicom_image(image_bytes, scale='auto', on_error='lossy', dtype=tf.uint8)
fig, axes = plt.subplots(1,2, figsize=(10,10))
axes[0].imshow(np.squeeze(image.numpy()), cmap='gray')
axes[0].set_title('image')
axes[1].imshow(np.squeeze(lossy_image.numpy()), cmap='gray')
axes[1].set_title('lossy image');
2021-11-22 03:47:53.016507: E tensorflow/stream_executor/cuda/cuda_driver.cc:271] failed call to cuInit: CUDA_ERROR_NO_DEVICE: no CUDA-capable device is detected

فك تشفير بيانات DICOM الوصفية والعمل مع العلامات
decode_dicom_data يترجم بطاقة المعلومات. dicom_tags يحتوي على معلومات مفيدة كما تقدم المريض في العمر والجنس، بحيث يمكنك استخدام DICOM العلامات مثل dicom_tags.PatientsAge و dicom_tags.PatientsSex . يستعير tensorflow_io نفس رمز العلامة من حزمة pydicom dicom.
tag_id = tfio.image.dicom_tags.PatientsAge
tag_value = tfio.image.decode_dicom_data(image_bytes,tag_id)
print(tag_value)
tf.Tensor(b'58', shape=(), dtype=string)
print(f"PatientsAge : {tag_value.numpy().decode('UTF-8')}")
PatientsAge : 58
tag_id = tfio.image.dicom_tags.PatientsSex
tag_value = tfio.image.decode_dicom_data(image_bytes,tag_id)
print(f"PatientsSex : {tag_value.numpy().decode('UTF-8')}")
PatientsSex : M
عرض على TensorFlow.org
تشغيل في Google Colab
عرض المصدر على جيثب
تحميل دفتر