TensorFlow.org এ দেখুন | Google Colab-এ চালান | GitHub-এ উৎস দেখুন | নোটবুক ডাউনলোড করুন |
ওভারভিউ
এই টিউটোরিয়ালটি শো কিভাবে ব্যবহার করতে tfio.image.decode_dicom_image TensorFlow আই মধ্যে ডিকোড DICOM ফাইল TensorFlow সঙ্গে।
সেটআপ এবং ব্যবহার
DICOM ইমেজ ডাউনলোড করুন
DICOM এই টিউটোরিয়ালটিতে ব্যবহৃত ইমেজ থেকে NIH এ বুকের এক্স-রে ডেটা সেটটি ।
NIH এ বুকের এক্স-রে ডেটা সেটটি 100,000 বি-নির্ধারিত NIH এ ক্লিনিক্যাল সেন্টার দ্বারা উপলব্ধ পিএনজি ফরম্যাটে বুকের এক্স-রে চিত্র, নিয়ে গঠিত মাধ্যমে ডাউনলোড করা যেতে পারে এই লিঙ্কে ।
Google মেঘ এছাড়াও ছবি একটি DICOM সংস্করণ, পাওয়া উপলব্ধ ক্লাউড স্টোরেজ ।
এই টিউটোরিয়ালে, আপনার কাছ থেকে ডেটা সেটটি একটি নমুনা ফাইল ডাউনলোড করবে GitHub রেপো
- Xiaosong Wang, Yifan Peng, Le Lu, Zhiyong Lu, Mohammadhadi Bagheri, Ronald Summers, ChestX-ray8: হসপিটাল-স্কেল বুকের এক্স-রে ডেটাবেস এবং সাধারণ বক্ষ রোগের দুর্বলভাবে তত্ত্বাবধানে শ্রেণীবিভাগ এবং স্থানীয়করণের মানদণ্ড, IEEE CVPR, 6 pp. -3471, 2017
curl -OL https://github.com/tensorflow/io/raw/master/docs/tutorials/dicom/dicom_00000001_000.dcmls -l dicom_00000001_000.dcm
% Total % Received % Xferd Average Speed Time Time Time Current
Dload Upload Total Spent Left Speed
100 164 0 164 0 0 600 0 --:--:-- --:--:-- --:--:-- 598
100 1024k 100 1024k 0 0 1915k 0 --:--:-- --:--:-- --:--:-- 1915k
-rw-rw-r-- 1 kbuilder kokoro 1049332 Nov 22 03:47 dicom_00000001_000.dcm
প্রয়োজনীয় প্যাকেজ ইনস্টল করুন এবং রানটাইম পুনরায় চালু করুন
try:
# Use the Colab's preinstalled TensorFlow 2.x
%tensorflow_version 2.x
except:
pass
pip install tensorflow-io
DICOM ইমেজ ডিকোড করুন
import matplotlib.pyplot as plt
import numpy as np
import tensorflow as tf
import tensorflow_io as tfio
image_bytes = tf.io.read_file('dicom_00000001_000.dcm')
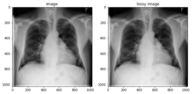
image = tfio.image.decode_dicom_image(image_bytes, dtype=tf.uint16)
skipped = tfio.image.decode_dicom_image(image_bytes, on_error='skip', dtype=tf.uint8)
lossy_image = tfio.image.decode_dicom_image(image_bytes, scale='auto', on_error='lossy', dtype=tf.uint8)
fig, axes = plt.subplots(1,2, figsize=(10,10))
axes[0].imshow(np.squeeze(image.numpy()), cmap='gray')
axes[0].set_title('image')
axes[1].imshow(np.squeeze(lossy_image.numpy()), cmap='gray')
axes[1].set_title('lossy image');
2021-11-22 03:47:53.016507: E tensorflow/stream_executor/cuda/cuda_driver.cc:271] failed call to cuInit: CUDA_ERROR_NO_DEVICE: no CUDA-capable device is detected

DICOM মেটাডেটা ডিকোড করুন এবং ট্যাগগুলির সাথে কাজ করুন৷
decode_dicom_data ট্যাগ তথ্য decodes। dicom_tags যাতে আপনি DICOM যেমন ট্যাগ ব্যবহার করতে পারেন, রোগীর বয়স ও লিঙ্গ হিসাবে দরকারী তথ্য dicom_tags.PatientsAge এবং dicom_tags.PatientsSex । tensorflow_io pydicom dicom প্যাকেজ থেকে একই ট্যাগ স্বরলিপি ধার।
tag_id = tfio.image.dicom_tags.PatientsAge
tag_value = tfio.image.decode_dicom_data(image_bytes,tag_id)
print(tag_value)
tf.Tensor(b'58', shape=(), dtype=string)
print(f"PatientsAge : {tag_value.numpy().decode('UTF-8')}")
PatientsAge : 58
tag_id = tfio.image.dicom_tags.PatientsSex
tag_value = tfio.image.decode_dicom_data(image_bytes,tag_id)
print(f"PatientsSex : {tag_value.numpy().decode('UTF-8')}")
PatientsSex : M
TensorFlow.org এ দেখুন
Google Colab-এ চালান
GitHub-এ উৎস দেখুন
নোটবুক ডাউনলোড করুন