مشاهده در TensorFlow.org | در Google Colab اجرا شود | مشاهده منبع در GitHub | دانلود دفترچه یادداشت |
بررسی اجمالی
این آموزش نشان می دهد که چگونه به استفاده tfio.image.decode_dicom_image در TensorFlow IO برای رمزگشایی فایل های با DICOM TensorFlow.
راه اندازی و استفاده
تصویر DICOM را دانلود کنید
تصویر DICOM استفاده در این آموزش از است NIH قفسه سینه مجموعه داده اشعه ایکس .
NIH به قفسه سینه مجموعه داده اشعه ایکس شامل 100.000 تصاویر د-شناسایی از رادیوگرافی قفسه سینه در فرمت PNG، ارائه شده توسط موسسه ملی بهداشت مرکز بالینی و می تواند از طریق دانلود از این لینک .
گوگل ابر همچنین یک نسخه DICOM از تصاویر موجود در فراهم می کند ابر ذخیره سازی .
در این آموزش، شما یک فایل نمونه از مجموعه داده از دانلود مخزن گیتهاب
- Xiaosong Wang، Yifan Peng، Le Lu، Zhiyong Lu، محمدهادی باقری، رونالد سامرز، ChestX-ray8: پایگاه داده اشعه ایکس قفسه سینه در مقیاس بیمارستان و معیارهای طبقهبندی ضعیف نظارت شده و محلیسازی بیماریهای شایع قفسه سینه، IEppEE CVPR, IEppEE CVPR, -3471، 2017
curl -OL https://github.com/tensorflow/io/raw/master/docs/tutorials/dicom/dicom_00000001_000.dcmls -l dicom_00000001_000.dcm
% Total % Received % Xferd Average Speed Time Time Time Current
Dload Upload Total Spent Left Speed
100 164 0 164 0 0 600 0 --:--:-- --:--:-- --:--:-- 598
100 1024k 100 1024k 0 0 1915k 0 --:--:-- --:--:-- --:--:-- 1915k
-rw-rw-r-- 1 kbuilder kokoro 1049332 Nov 22 03:47 dicom_00000001_000.dcm
بسته های مورد نیاز را نصب کنید و زمان اجرا را مجددا راه اندازی کنید
try:
# Use the Colab's preinstalled TensorFlow 2.x
%tensorflow_version 2.x
except:
pass
pip install tensorflow-io
رمزگشایی تصویر DICOM
import matplotlib.pyplot as plt
import numpy as np
import tensorflow as tf
import tensorflow_io as tfio
image_bytes = tf.io.read_file('dicom_00000001_000.dcm')
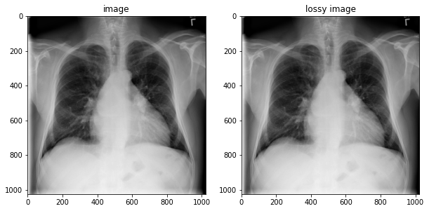
image = tfio.image.decode_dicom_image(image_bytes, dtype=tf.uint16)
skipped = tfio.image.decode_dicom_image(image_bytes, on_error='skip', dtype=tf.uint8)
lossy_image = tfio.image.decode_dicom_image(image_bytes, scale='auto', on_error='lossy', dtype=tf.uint8)
fig, axes = plt.subplots(1,2, figsize=(10,10))
axes[0].imshow(np.squeeze(image.numpy()), cmap='gray')
axes[0].set_title('image')
axes[1].imshow(np.squeeze(lossy_image.numpy()), cmap='gray')
axes[1].set_title('lossy image');
2021-11-22 03:47:53.016507: E tensorflow/stream_executor/cuda/cuda_driver.cc:271] failed call to cuInit: CUDA_ERROR_NO_DEVICE: no CUDA-capable device is detected

رمزگشایی فراداده DICOM و کار با برچسب ها
decode_dicom_data رمز گشایی اطلاعات برچسب. dicom_tags حاوی اطلاعات مفید سن و جنس بیمار، به طوری که شما می توانید DICOM برچسب ها مانند استفاده از dicom_tags.PatientsAge و dicom_tags.PatientsSex . tensorflow_io همان نماد برچسب را از بسته pydicom dicom قرض می گیرد.
tag_id = tfio.image.dicom_tags.PatientsAge
tag_value = tfio.image.decode_dicom_data(image_bytes,tag_id)
print(tag_value)
tf.Tensor(b'58', shape=(), dtype=string)
print(f"PatientsAge : {tag_value.numpy().decode('UTF-8')}")
PatientsAge : 58
tag_id = tfio.image.dicom_tags.PatientsSex
tag_value = tfio.image.decode_dicom_data(image_bytes,tag_id)
print(f"PatientsSex : {tag_value.numpy().decode('UTF-8')}")
PatientsSex : M
مشاهده در TensorFlow.org
در Google Colab اجرا شود
مشاهده منبع در GitHub
دانلود دفترچه یادداشت