הצג באתר TensorFlow.org | הפעל בגוגל קולאב | צפה במקור ב-GitHub | הורד מחברת |
סקירה כללית
מופעים הדרכה זו כיצד להשתמש tfio.image.decode_dicom_image ב TensorFlow IO לפענח DICOM קבצים עם TensorFlow.
הגדרה ושימוש
הורד תמונת DICOM
התמונה DICOM המשמש הדרכה זו היא מן הנתונים רנטגן חזה NIH .
מערך הנתונים של NIH חזה רנטגן מורכב 100,000 תמונות דה-מזוהה של צילומי רנטגן בפורמט PNG, שמספק המרכז הקליני NIH וניתן להוריד דרך הקישור הזה .
Google Cloud מספק גם גרסת DICOM של התמונות, זמינה לאחסון בענן .
במדריך זה, תוכלו להוריד קובץ מדגם של בסיס הנתונים מן ריפו GitHub
- Xiaosong Wang, Yifan Peng, Le Lu, Zhiyong Lu, Mohammadhadi Bagheri, Ronald Summers, ChestX-ray8: מסד נתונים של רנטגן חזה בקנה מידה בית חולים ומדדים על סיווג ולוקליזציה בפיקוח חלש של מחלות חזה נפוצות, IEEE CVPR, עמ' 3462 -3471, 2017
curl -OL https://github.com/tensorflow/io/raw/master/docs/tutorials/dicom/dicom_00000001_000.dcmls -l dicom_00000001_000.dcm
% Total % Received % Xferd Average Speed Time Time Time Current
Dload Upload Total Spent Left Speed
100 164 0 164 0 0 600 0 --:--:-- --:--:-- --:--:-- 598
100 1024k 100 1024k 0 0 1915k 0 --:--:-- --:--:-- --:--:-- 1915k
-rw-rw-r-- 1 kbuilder kokoro 1049332 Nov 22 03:47 dicom_00000001_000.dcm
התקן את החבילות הנדרשות והפעל מחדש את זמן הריצה
try:
# Use the Colab's preinstalled TensorFlow 2.x
%tensorflow_version 2.x
except:
pass
pip install tensorflow-io
פענוח תמונת DICOM
import matplotlib.pyplot as plt
import numpy as np
import tensorflow as tf
import tensorflow_io as tfio
image_bytes = tf.io.read_file('dicom_00000001_000.dcm')
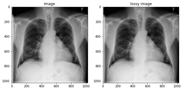
image = tfio.image.decode_dicom_image(image_bytes, dtype=tf.uint16)
skipped = tfio.image.decode_dicom_image(image_bytes, on_error='skip', dtype=tf.uint8)
lossy_image = tfio.image.decode_dicom_image(image_bytes, scale='auto', on_error='lossy', dtype=tf.uint8)
fig, axes = plt.subplots(1,2, figsize=(10,10))
axes[0].imshow(np.squeeze(image.numpy()), cmap='gray')
axes[0].set_title('image')
axes[1].imshow(np.squeeze(lossy_image.numpy()), cmap='gray')
axes[1].set_title('lossy image');
2021-11-22 03:47:53.016507: E tensorflow/stream_executor/cuda/cuda_driver.cc:271] failed call to cuInit: CUDA_ERROR_NO_DEVICE: no CUDA-capable device is detected

פענוח DICOM Metadata ועבודה עם תגיות
decode_dicom_data מפענח מידע תג. dicom_tags מכיל מידע שימושי כמו גיל החולה ומין, כך שאתה יכול להשתמש DICOM תגיות כגון dicom_tags.PatientsAge ו dicom_tags.PatientsSex . tensorflow_io שאלו את אותו סימון תג מחבילת pydicom dicom.
tag_id = tfio.image.dicom_tags.PatientsAge
tag_value = tfio.image.decode_dicom_data(image_bytes,tag_id)
print(tag_value)
tf.Tensor(b'58', shape=(), dtype=string)
print(f"PatientsAge : {tag_value.numpy().decode('UTF-8')}")
PatientsAge : 58
tag_id = tfio.image.dicom_tags.PatientsSex
tag_value = tfio.image.decode_dicom_data(image_bytes,tag_id)
print(f"PatientsSex : {tag_value.numpy().decode('UTF-8')}")
PatientsSex : M
הצג באתר TensorFlow.org
הפעל בגוגל קולאב
צפה במקור ב-GitHub
הורד מחברת