Lihat di TensorFlow.org | Jalankan di Google Colab | Lihat sumber di GitHub | Unduh buku catatan |
Ringkasan
Menunjukkan tutorial ini bagaimana menggunakan tfio.image.decode_dicom_image di TensorFlow IO untuk decode DICOM file dengan TensorFlow.
Pengaturan dan Penggunaan
Unduh gambar DICOM
Gambar DICOM yang digunakan dalam tutorial ini adalah dari NIH Dada X-ray dataset .
NIH Dada X-ray dataset terdiri dari 100.000 gambar de-diidentifikasi x-ray dada dalam format PNG, yang disediakan oleh NIH Clinical Center dan dapat diunduh melalui link ini .
Google Cloud juga menyediakan versi DICOM gambar, tersedia di Cloud Storage .
Dalam tutorial ini, Anda akan men-download file sampel dataset dari repo GitHub
- Xiaosong Wang, Yifan Peng, Le Lu, Zhiyong Lu, Mohammadhadi Bagheri, Ronald Summers, Rontgen Dada8: Basis Data Rontgen Dada Skala Rumah Sakit dan Tolok Ukur pada Klasifikasi dan Lokalisasi yang Diawasi dengan Lemah dari Penyakit Dada Umum, IEEE CVPR, hlm. 3462 -3471, 2017
curl -OL https://github.com/tensorflow/io/raw/master/docs/tutorials/dicom/dicom_00000001_000.dcmls -l dicom_00000001_000.dcm
% Total % Received % Xferd Average Speed Time Time Time Current
Dload Upload Total Spent Left Speed
100 164 0 164 0 0 600 0 --:--:-- --:--:-- --:--:-- 598
100 1024k 100 1024k 0 0 1915k 0 --:--:-- --:--:-- --:--:-- 1915k
-rw-rw-r-- 1 kbuilder kokoro 1049332 Nov 22 03:47 dicom_00000001_000.dcm
Instal Paket yang diperlukan, dan mulai ulang runtime
try:
# Use the Colab's preinstalled TensorFlow 2.x
%tensorflow_version 2.x
except:
pass
pip install tensorflow-io
Dekode gambar DICOM
import matplotlib.pyplot as plt
import numpy as np
import tensorflow as tf
import tensorflow_io as tfio
image_bytes = tf.io.read_file('dicom_00000001_000.dcm')
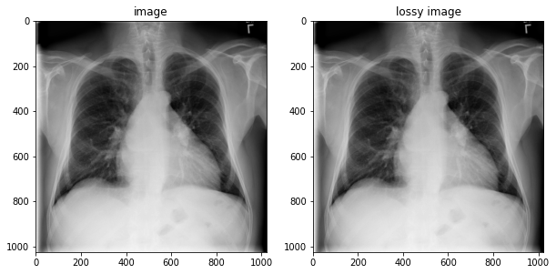
image = tfio.image.decode_dicom_image(image_bytes, dtype=tf.uint16)
skipped = tfio.image.decode_dicom_image(image_bytes, on_error='skip', dtype=tf.uint8)
lossy_image = tfio.image.decode_dicom_image(image_bytes, scale='auto', on_error='lossy', dtype=tf.uint8)
fig, axes = plt.subplots(1,2, figsize=(10,10))
axes[0].imshow(np.squeeze(image.numpy()), cmap='gray')
axes[0].set_title('image')
axes[1].imshow(np.squeeze(lossy_image.numpy()), cmap='gray')
axes[1].set_title('lossy image');
2021-11-22 03:47:53.016507: E tensorflow/stream_executor/cuda/cuda_driver.cc:271] failed call to cuInit: CUDA_ERROR_NO_DEVICE: no CUDA-capable device is detected

Decode DICOM Metadata dan bekerja dengan Tag
decode_dicom_data decode informasi tag. dicom_tags berisi informasi berguna sebagai usia pasien dan seks, sehingga Anda dapat menggunakan DICOM tag seperti dicom_tags.PatientsAge dan dicom_tags.PatientsSex . tensorflow_io meminjam notasi tag yang sama dari paket pydicom dicom.
tag_id = tfio.image.dicom_tags.PatientsAge
tag_value = tfio.image.decode_dicom_data(image_bytes,tag_id)
print(tag_value)
tf.Tensor(b'58', shape=(), dtype=string)
print(f"PatientsAge : {tag_value.numpy().decode('UTF-8')}")
PatientsAge : 58
tag_id = tfio.image.dicom_tags.PatientsSex
tag_value = tfio.image.decode_dicom_data(image_bytes,tag_id)
print(f"PatientsSex : {tag_value.numpy().decode('UTF-8')}")
PatientsSex : M
Lihat di TensorFlow.org
Jalankan di Google Colab
Lihat sumber di GitHub
Unduh buku catatan