TensorFlow.org에서 보기 |
Google Colab에서 실행하기 |
GitHub에서소스 보기 |
노트북 다운로드하기 |
개요
이 튜토리얼에서는 TensorFlow IO에서 tfio.image.decode_dicom_image를 사용하여 TensorFlow로 DICOM 파일을 디코딩하는 방법을 보여줍니다.
설정 및 사용법
DICOM 이미지 다운로드하기
이 튜토리얼에 사용된 DICOM 이미지는 NIH 흉부 X-레이 데이터세트에서 가져왔습니다.
NIH 흉부 X-레이 데이터세트는 NIH Clinical Center에서 신원 식별 정보를 제거한 상태로 제공하는 100,000개의 PNG 형식 흉부 X-레이 이미지로 구성되며 이 링크를 통해 다운로드할 수 있습니다.
Google Cloud에서도 클라우드 스토리지에서 사용할 수 있는 DICOM 버전의 이미지를 제공합니다.
이 튜토리얼에서는 GitHub 리포지토리에서 데이터세트의 샘플 파일을 다운로드합니다.
참고: 데이터세트에 대한 자세한 내용은 다음 참고 문헌을 확인하세요.
- Xiaosong Wang, Yifan Peng, Le Lu, Zhiyong Lu, Mohammadhadi Bagheri, Ronald Summers, ChestX-ray8: Hospital-scale Chest X-ray Database and Benchmarks on Weakly-Supervised Classification and Localization of Common Thorax Diseases, IEEE CVPR, pp. 3462-3471, 2017
curl -OL https://github.com/tensorflow/io/raw/master/docs/tutorials/dicom/dicom_00000001_000.dcmls -l dicom_00000001_000.dcm
% Total % Received % Xferd Average Speed Time Time Time Current
Dload Upload Total Spent Left Speed
100 164 100 164 0 0 488 0 --:--:-- --:--:-- --:--:-- 488
100 1024k 100 1024k 0 0 1616k 0 --:--:-- --:--:-- --:--:-- 1616k
-rw-rw-r-- 1 kbuilder kokoro 1049332 Aug 25 20:26 dicom_00000001_000.dcm
필수 패키지를 설치하고 런타임 다시 시작하기
try:
# Use the Colab's preinstalled TensorFlow 2.x
%tensorflow_version 2.x
except:
pass
pip install tensorflow-ioDICOM 이미지 디코딩하기
import matplotlib.pyplot as plt
import numpy as np
import tensorflow as tf
import tensorflow_io as tfio
image_bytes = tf.io.read_file('dicom_00000001_000.dcm')
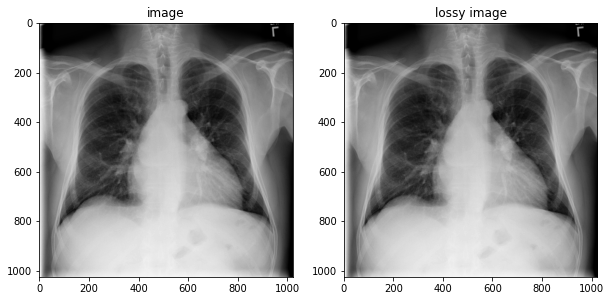
image = tfio.image.decode_dicom_image(image_bytes, dtype=tf.uint16)
skipped = tfio.image.decode_dicom_image(image_bytes, on_error='skip', dtype=tf.uint8)
lossy_image = tfio.image.decode_dicom_image(image_bytes, scale='auto', on_error='lossy', dtype=tf.uint8)
fig, axes = plt.subplots(1,2, figsize=(10,10))
axes[0].imshow(np.squeeze(image.numpy()), cmap='gray')
axes[0].set_title('image')
axes[1].imshow(np.squeeze(lossy_image.numpy()), cmap='gray')
axes[1].set_title('lossy image');
2021-08-25 20:26:22.929816: W tensorflow_io/core/kernels/audio_video_mp3_kernels.cc:271] libmp3lame.so.0 or lame functions are not available

문서
이 패키지에는 DCMTK 함수를 래핑하는 두 가지 연산이 있습니다. decode_dicom_image는 DICOM 파일의 픽셀 데이터를 디코딩하고 decode_dicom_data는 태그 정보를 디코딩합니다. tags에는 tags.PatientsName과 같은 유용한 DICOM 태그가 포함됩니다. 태그 표기법은 pydicom dicom 패키지에서 빌려왔습니다.
DICOM 이미지 데이터 가져오기
io.dicom.decode_dicom_image( contents, color_dim=False, on_error='skip', scale='preserve', dtype=tf.uint16, name=None )
contents: 문자열 유형의 텐서입니다(0-D). 바이트 문자열로 인코딩된 DICOM 파일color_dim: 선택적bool입니다. 기본값은False입니다.True이면 3-D 텐서를 형성하는 모든 이미지에 세 번째 채널이 추가됩니다. 1024 x 1024 그레이스케일 이미지는 1024 x 1024 x 1입니다.on_error: 기본값은skip입니다. 이 속성은 이미지를 열 때 오류가 발생하거나 출력 유형이 가능한 모든 입력 값을 수용할 수 없는 경우에 동작을 설정합니다. 사용자가 출력 dtype을tf.uint8로 설정했지만 dicom 이미지가tf.uint16유형을 저장하는 경우를 예로 들 수 있습니니다.strict이 오류를 발생시킵니다.skip은 1-D의 빈 텐서를 반환합니다.lossy는scale속성을 통해 값을 조정하는 연산을 계속합니다.scale: 기본값은preserve입니다. 이 속성은 입력 값의 스케일을 처리하는 방법을 설정합니다.auto는 입력 값의 스케일을 자동으로 조정합니다. 출력 유형이 정수이면auto에 최대 출력 스케일이 사용됩니다. 예를 들어, [0, 255]의 값을 저장하는uint8은 [0.65535]인uint16을 채우도록 선형적으로 늘릴 수 있습니다. 출력이 부동 소수점이면auto가 [0,1]로 스케일 조정됩니다.preserve는 값을 그대로 유지하며, 가능한 최대 출력보다 큰 입력 값은 잘립니다.dtype:tf.uint8, tf.uint16, tf.uint32, tf.uint64, tf.float16, tf.float32, tf.float64에서 선택할 수 있는tf.DType입니다. 기본값은tf.uint16입니다.name: 연산의 이름(선택 사항)
dtype 유형의 A Tensor를 반환하고 형상은 DICOM 파일에 의해 결정됩니다.
DICOM 태그 데이터 가져오기
io.dicom.decode_dicom_data( contents, tags=None, name=None )
contents: 문자열 유형의 텐서입니다(0-D). 바이트 문자열로 인코딩된 DICOM 파일tags: 모든 차원의tf.uint32유형 텐서입니다. 이러한uint32숫자는 DICOM 태그에 직접 매핑됩니다.name: 연산의 이름(선택 사항)
tf.string 유형의 Tensor 및 tags와 동일한 형상을 반환합니다. dicom 태그가 문자열 목록인 경우, 목록이 하나의 문자열로 결합되고 이중 백슬레시 `tf.string 유형의 Tensor 및 tags와 동일한 형상을 반환합니다. dicom 태그가 문자열 목록인 경우, 목록이 하나의 문자열로 결합되고 이중 백슬레시 로 분리됩니다. 태그가 숫자 목록인 경우 DCMTK에 버그가 있으며 0번째 요소만 문자열로 반환됩니다.
Bibtex
이 패키지가 도움이 되었다면 아래 내용을 인용해주세요.
@misc{marcelo_lerendegui_2019_3337331, author = {Marcelo Lerendegui and Ouwen Huang}, title = {Tensorflow Dicom Decoder}, month = jul, year = 2019, doi = {10.5281/zenodo.3337331}, url = {https://doi.org/10.5281/zenodo.3337331} }
라이선스
Copyright 2019 Marcelo Lerendegui, Ouwen Huang, Gradient Health Inc.
Apache 라이선스 버전 2.0("라이선스")에 따라 사용이 허가되었습니다. 라이선스를 준수하지 않으면 이 파일을 사용할 수 없습니다. 다음 위치에서 라이선스 사본을 얻을 수 있습니다.
http://www.apache.org/licenses/LICENSE-2.0
관련 법률에서 요구하거나 서면으로 합의한 경우가 아니면 라이선스에 따라 배포된 소프트웨어는 명시적이든 묵시적이든 어떤 종류의 보증이나 조건도 없이 "있는 그대로" 배포됩니다. 라이선스에 따른 권한 및 제한 사항을 규정하는 특정 언어는 라이선스를 참조하세요.
TensorFlow.org에서 보기
Google Colab에서 실행하기
GitHub에서소스 보기
노트북 다운로드하기