Посмотреть на TensorFlow.org | Запустить в Google Colab | Посмотреть исходный код на GitHub | Скачать блокнот |
Обзор
В этом учебнике показано , как использовать tfio.image.decode_dicom_image в TensorFlow IO , чтобы декодировать DICOM файлы с TensorFlow.
Настройка и использование
Загрузить DICOM-изображение
DICOM - изображение , используемое в данном учебнике от НИЗ рентгенографии грудной клетки набора данных .
NIH Рентгенограмма набор данные состоит из 100000 обезличенных изображений грудной клетки рентгеновских лучей в формате PNG, предоставляемых НИЗ клинического центром и может быть загружены через эту ссылку .
Google Cloud также обеспечивает версию DICOM изображений, доступную в Cloud Storage .
В этом уроке вы копируете образец файл набора данных из репозитория GitHub
- Xiaosong Wang, Yifan Peng, Le Lu, Zhiyong Lu, Mohammadhadi Bagheri, Ronald Summers, ChestX-ray8: База данных рентгеновских снимков грудной клетки в больничном масштабе и контрольные показатели по слабо контролируемой классификации и локализации распространенных заболеваний грудной клетки, IEEE CVPR, стр. 3462 -3471, 2017 г.
curl -OL https://github.com/tensorflow/io/raw/master/docs/tutorials/dicom/dicom_00000001_000.dcmls -l dicom_00000001_000.dcm
% Total % Received % Xferd Average Speed Time Time Time Current
Dload Upload Total Spent Left Speed
100 164 0 164 0 0 600 0 --:--:-- --:--:-- --:--:-- 598
100 1024k 100 1024k 0 0 1915k 0 --:--:-- --:--:-- --:--:-- 1915k
-rw-rw-r-- 1 kbuilder kokoro 1049332 Nov 22 03:47 dicom_00000001_000.dcm
Установите необходимые пакеты и перезапустите среду выполнения.
try:
# Use the Colab's preinstalled TensorFlow 2.x
%tensorflow_version 2.x
except:
pass
pip install tensorflow-io
Декодировать изображение DICOM
import matplotlib.pyplot as plt
import numpy as np
import tensorflow as tf
import tensorflow_io as tfio
image_bytes = tf.io.read_file('dicom_00000001_000.dcm')
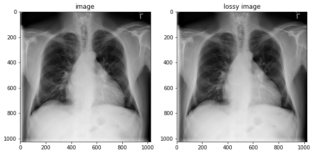
image = tfio.image.decode_dicom_image(image_bytes, dtype=tf.uint16)
skipped = tfio.image.decode_dicom_image(image_bytes, on_error='skip', dtype=tf.uint8)
lossy_image = tfio.image.decode_dicom_image(image_bytes, scale='auto', on_error='lossy', dtype=tf.uint8)
fig, axes = plt.subplots(1,2, figsize=(10,10))
axes[0].imshow(np.squeeze(image.numpy()), cmap='gray')
axes[0].set_title('image')
axes[1].imshow(np.squeeze(lossy_image.numpy()), cmap='gray')
axes[1].set_title('lossy image');
2021-11-22 03:47:53.016507: E tensorflow/stream_executor/cuda/cuda_driver.cc:271] failed call to cuInit: CUDA_ERROR_NO_DEVICE: no CUDA-capable device is detected

Декодирование метаданных DICOM и работа с тегами
decode_dicom_data декодирует информацию тега. dicom_tags содержит полезную информацию , как возраст пациента и пол, так что вы можете использовать DICOM теги , такие как dicom_tags.PatientsAge и dicom_tags.PatientsSex . tensorflow_io заимствует те же обозначения тегов из пакета pydicom dicom.
tag_id = tfio.image.dicom_tags.PatientsAge
tag_value = tfio.image.decode_dicom_data(image_bytes,tag_id)
print(tag_value)
tf.Tensor(b'58', shape=(), dtype=string)
print(f"PatientsAge : {tag_value.numpy().decode('UTF-8')}")
PatientsAge : 58
tag_id = tfio.image.dicom_tags.PatientsSex
tag_value = tfio.image.decode_dicom_data(image_bytes,tag_id)
print(f"PatientsSex : {tag_value.numpy().decode('UTF-8')}")
PatientsSex : M
Посмотреть на TensorFlow.org
Запустить в Google Colab
Посмотреть исходный код на GitHub
Скачать блокнот